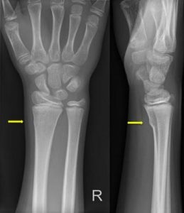
Your child has a small fracture in the lower-arm, a torus fracture. It is a buckle of the bone. This is treated with a brace and a sling.
Summary
Your child has a small fracture in the lower-arm, at the level of the wrist.
This type of injury almost always heals well without any loss of function.
A routine follow-up is not necessary for this type of injury.
The sling can be removed as pain allows. The brace may be removed after one week. If your child is still in too much pain, then the use of the brace can be reduced in the second week.
To prevent the wrist from getting stiff, it is important that your child starts moving his/her wrist after 1-2 weeks.
You can find instructions on how to reapply the brace in the app.
If you have any questions, or are experiencing problems with your recovery, you can call the Breuklijn from Monday to Friday at 8.30 to 10.00 a.m. T 0187 607 297.
Treatment
The torus fracture of the wrist or lower-arm is a common injury in children. The fracture is treated with a brace and a sling.
0-1 week
Wear the sling, you may remove it as soon as your child's pain allows.
Wear the brace.
1-2 weeks
Wear a brace, remove it as soon as your child's pain allows.
3-4 weeks
Move your child's wrist and lower-arm
After 4 weeks
Your child may start sports.
Instructions
Follow these instructions for a good recovery:
The brace and sling keep your child's arm in a comfortable position.
The sling can be removed if your child's pain allows this. Wear the brace for one week. Is your child in too much pain after 1 week? Then your child can use the brace in the second week. After the second week your child should not wear the brace anymore.
The fracture is close to your child's wrist. Therefore it is important that your child starts moving his/her wrist after 1-2 weeks. This prevents your child's wrist from getting stiff and improves the healing and recovery.
After 3 weeks, your child can carefully resume activities. This is only when your child’s pain allows this. If your child is still experiencing too much pain to do this, it is better to wait a few more days.
When your child takes a shower the brace can be removed. Make sure that your child's arm is completely dry before putting on the brace again. You can find instructions on how to reapply the brace in the app.
Is your child in pain? Use a mild pain killer such as paracetamol (acetaminophen). Do not wait with the use of paracetamol until the pain is too much.
Recovery
This type of injury almost always heals well with time and use – no specific treatment is required and routine follow-up is not necessary.
Does the pain increase, or does it not improve? Please contact the Breuklijn: T 0187 607 297. We will make an appointment if necessary.
Reapply the brace
In the video below you can find instructions on how to to reapply the brace.
Exercises
The fracture is close to the wrist. Therefore it is important that your child starts moving the wrist after 1-2 weeks. No specific exercises are necessary.
Questions?
Please call us
If there are any questions after reading the information, please contact us or visit the website.
Contact
You can contact the Breuklijn from Monday to Friday at 8.30 to 10.00 a.m. T 0187 607 297.
Deze website maakt gebruik van cookies. Lees onze cookieverklaring .